Angiotac Pulmonar
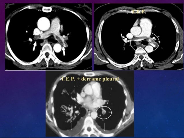
Se realizó angiografía por tomografía axial computada (angioTAC) de arterias pulmonares, que demostró TEP bilateral, que comprometía arterias pulmonares principales, con dilatación de VD ( Figura 1 ), y reflujo del contraste hacia la vena cava inferior, hallazgos que indicaban disfunción ventricular derecha.
Angiotac pulmonar. Se realizo angio TAC la cual no evidencio masa ni trombos Se realizo cateterismo derecho por venodisección en pliegue MTD, con catéter de Swanz Ganz, con ventrículo derecho con presión sistólica de 129mmhg con una tele diastólica de 14mmhg, no se logro acceder a tronco de la pulmonar. TROMBOEMBOLIA PULMONAR (Clasificación de Wells (< 4 Poco probable 4 TROMBOEMBOLIA PULMONAR, s1q3t3 #, HNF IM forbidden Abscesos Frios!. Angiografia pulmonar A angiografia pulmonar, também conhecida como arteriografia pulmonar, tratase de um angiograma dos vasos sanguíneos dos pulmões, ou seja, um procedimento diagnóstico que fornece uma imagem radiográfica desses vasos sanguíneos Pela capacidade de avaliar o fluxo de sangue para os pulmões, a angiografia é indicada na avaliação de diferentes transtornos vasculares, como aneurisma, estenose ou bloqueios.
A ANGIO TC ou angiotomografia é um exame de diagnóstico que nos permite avaliar os vasos sanguíneos (veias e artérias)As artérias (sangue arterial) permitem enviar o sangue desde o coração até às células, enquanto que as veias permitem conduzir o sangue desde as células de volta até ao coração (sangue venoso). AngioTC Arterias pulmonares (Estudio TEP, Tromboembolismo Pulmonar) AngioTC Arterias pulmonares Prueba diagnóstica que consiste en el estudio de las arterias pulmonares mediante el empleo de un equipo de TC (Tomografía Computarizada) obteniendo imágenes bi y tridimensionales En este estudio es imprescindible el uso de contraste yodado, el cual permitirá una mejor definición anatómica. TROMBOEMBOLIA PULMONAR (Clasificación de Wells (< 4 Poco probable 4 TROMBOEMBOLIA PULMONAR, s1q3t3 #, HNF IM forbidden Abscesos Frios!.
A falência ventricular direita (VD) é a causa mais frequente de morte a curto prazo nos doentes com tromboembolismo pulmonar agudo (TEP) 1A presença de choque ou instabilidade hemodinâmica, definida como pressão arterial sistólica inferior a 90 mmHg ou queda superior a 40 mmhg, é um marcador clínico de alto risco identificando doentes que podem beneficiar de trombólise precoce 2. La angioTAC arterias pulmonares requiere de contraste y ayunas de 46 horas Debe firmar consentimiento informado Se obtienen imágenes radiológicas de alta definición anatómica de las arterias pulmonares, con equipo TAC (tomografía computarizada) helicoidal multicorte de 64 detectores y reconstrucción 3D. La gammagrafía pulmonar es una prueba de diagnóstico por imagen, que se realiza en medicina nuclear, donde utiliza una pequeña cantidad de sustancia radioactiva para observar y explorar los pulmones Un angiotac es un estudio mínimamente invasivo que estudia los vasos sanguíneos (arterias y venas) del organismo mediante un medio de.
El tromboembolismo pulmonar (TEP) es un trastorno pulmonar frecuente y difícil de diagnosticar que se confirma mediante pruebas objetivas en solo el % de los pacientes 1Además, no hay una única prueba lo suficientemente sensible o específica para el diagnóstico en todos los casos 2La principal indicación de la ecografía endobronquial (EBUS) es la punción de adenopatías. AngioTC das artéria pulmonares TEP. Control de trasplante pulmonar en caso que venga por patología estenosis Arteria Pulmonar, realizar como Angio TC Pulmonar Opcionalmente se puede realizar cortes espiratorios, lo que será determinado por el médico radiólogo **Enviar Ventana Pulmonar Mip pulmón Ventana Mediastino** TÓRAX BAJA DOSIS Control de nódulos sólidos.
Introducción• El tromboembolismo pulmonar (TEP) puede ser habitual complicación de la trombosis venosa profunda (TVP), como consecuencia de la migración al árbol arterial pulmonar de un trombo procedente del territorio venoso, generalmente del sistema profundo inferior wwwreemearizonaedu 3. El tromboembolismo pulmonar (TEP) es un trastorno pulmonar frecuente y difícil de diagnosticar que se confirma mediante pruebas objetivas en solo el % de los pacientes 1Además, no hay una única prueba lo suficientemente sensible o específica para el diagnóstico en todos los casos 2La principal indicación de la ecografía endobronquial (EBUS) es la punción de adenopatías. Entre suas normas preparatórias, o.
Las anomalías en el flujo de sangre que circula dentro de los diversos órganos del cuerpo humano Otros fines. AngioTAC es una tomografía axial computarizada con medio de contraste que permite estudiar la circulación sanguínea en las arterias y venas, Episodios de embolia pulmonar;. 3402 Utilidad del angiotC multidetector negativo en pacientes con sospecha de tromboembolismo pulmonar holguín a, lombana m, Collazos g, bravo h, abella J suspected pulmonary embolism 217 patients were included in the final analysis Of these, 39 (185) were positive for pulmonary embolism The 178 remaining negative studies, 843% were normal, 5337% were classified as category.
ANGIOTAC PULMONAR Tomografía Liquid BrandLab 7 de febrero de 18 Siguiente TORAX DE ALTA RESOLUCIÓN Tomografía Liquid BrandLab 7 de febrero de 18 Centro Médico Centro Medico 6a Avenida 347 Zona 10, Guatemala, Guatemala (502) Contacto CENTRO MEDICO 6A AVENIDA 347 ZONA 10. Introducción• El tromboembolismo pulmonar (TEP) puede ser habitual complicación de la trombosis venosa profunda (TVP), como consecuencia de la migración al árbol arterial pulmonar de un trombo procedente del territorio venoso, generalmente del sistema profundo inferior wwwreemearizonaedu 3. Es decir, la probabilidad preprueba de cursar con ella.
Blog Dec 15, How to increase brand awareness through consistency;. Tras la cirugía y el tratamiento anticoagulante, la evolución clínica fue muy satisfactoria;. Se realizo angio TAC la cual no evidencio masa ni trombos Se realizo cateterismo derecho por venodisección en pliegue MTD, con catéter de Swanz Ganz, con ventrículo derecho con presión sistólica de 129mmhg con una tele diastólica de 14mmhg, no se logro acceder a tronco de la pulmonar.
Las angioRNM pueden requerir de a 30 minutos. Abstract Acute pulmonary thromboembolism (PTE) is a condition that entails a diagnostic challenge in the usual practice of the primary care emergency departments The difficulty of its diagnosis is found in the heterogeneity of its symptoms. O AngioTAC TEP radiológicamente masivo con signos de hipertensión pulmonar (aumento calibre arteria pulmonar y dilatación VD) 7 O Se comenta de nuevo con UCI y tras valoración del riesgo, se decide ingreso en Neumología con diagnóstico de TEP bilateral 8.
El AngioTAC es un estudio que se basa en aplicar rayos X en una zona del cuerpo para obtener imágenes tridimensionales Su finalidad es poder investigar si las venas , las arterias, las arteriolas, los capilares y las vénulas tienen algún problema , como podría ser una malformación, un estrechamiento o una dilatación exagerada. Una gammagrafía pulmonar también puede realizarse para ver si un tratamiento está dando buen resultado Una gammagrafía pulmonar es un tipo de prueba nuclear de diagnóstico por imágenes Esto significa que durante la prueba, o exploración, se utiliza una pequeña cantidad de una sustancia radiactiva. Angiografía pulmonar Es un examen para ver cómo fluye la sangre a través del pulmón Una angiografía es un examen imagenológico que utiliza rayos X y un colorante especial para ver el interior de las arterias Las arterias son los vasos sanguíneos que trasportan la sangre desde el corazón.
Protocolo angio tc evaluar vasos cerebrales pequeños, es importante tener una buena calidad de imagen con una buena resolucion espacial se debe ocupar el corte. AngioTAC como método de diagnóstico y decisión quirúrgica en el tromboembolismo pulmonar crónico Discusión a propósito de un caso CT angiography as the diagnostic and decision making method used for surgical indication in pulmonary hypertension due to chronic thromboembolism Report of one case. La angiografía pulmonar antiguamente era utilizada como herramienta de oro para el diagnóstico o exclusión de TEP, en la que se documenta un defecto de llene o amputación de una o más las pulmonares en al menos dos proyecciones.
Pulmonary hypertension is characterized by progressive involvement of the pulmonary vessels that leads to increased vascular resistance and consequently to right ventricular failure Vascular lesions are a common factor in a wide spectrum of diseases, and their result, pulmonary hypertension, is a severe clinical condition with a poor prognosis. Protocolo para uso de angiotac (angiografia por tomografia visualizar la red vascular tanto arterial como venosa Para aplicaciones específicas de la ATC que haya desplazamiento de la mesa limitada, tales como la coronaria, renal, pulmonar, mesentérica, craneal, e imágenes distales de la extremidad, la multidetección permite. Pulmonar es la manifestación de esta entidad en la circulación pulmonar Su presentación es variable y requiere de alta sospecha clínica para su abordaje La importancia de las manifestaciones clínicas incide directamente en la probabilidad de demostrar la enfermedad;.
La angiotomografía o angiotac es un procedimiento que permite estudiar las arterias del cuerpo y diagnosticar si se encuentran sin alteraciones, estrechadas o bloqueadas, Examinar las arterias pulmonares en los pulmones a fin de descartar una embolia pulmonar Detectar trombosis (coágulos) en las venas y/o arterias. En la ecocardiografía de control desapareció la hipertensión pulmonar y en la angioTAC pulmonar se resolvieron los trombos intravasculares. Gammagrafía de ventilaciónperfusión pulmonar / Angiotac Gammagrafía ventilaciónperfusión pulmonar YODO 131 / I131 Definición La terapia de yodo radioactivo es un tratamiento de medicina nuclear para una tiroides hiperactiva (una condición denominada hipertiroidismo) y también.
ANGIOTAC PULMONAR Tomografía Liquid BrandLab 7 de febrero de 18 Siguiente TORAX DE ALTA RESOLUCIÓN Tomografía Liquid BrandLab 7 de febrero de 18 Centro Médico Centro Medico 6a Avenida 347 Zona 10, Guatemala, Guatemala (502) Contacto CENTRO MEDICO 6A AVENIDA 347 ZONA 10. La angiografía por Tc se utiliza, sobretodo en enfermos con sospecha de enfermedad vascular torácica, como pueden ser los aneurismas, estrechamiento de vasos, embolismo pulmonar y para identificar la disección de la aorta Las indicaciones para la angioTc del tórax, aunque no se limitan a estas, son las siguientes Aneurisma arterial y venoso. El tromboembolismo pulmonar (TEP) es la oclusión o taponamiento de una parte del territorio arterial pulmonar (vasos sanguíneos que llevan sangre pobre en oxígeno desde el corazón hasta los pulmones para oxigenarla) a causa de un émbolo o trombo que procede de otra parte del cuerpo.
Snowflake, 4angioTACtrombooclusivopulmonar AngioTAC #, 3 Signo de Westermarck #, img0801 #. Angiotac pulmonar codigo información al paciente ayuno de 6 horas firma de consentimiento informado valores de creatinina en sangre recientes (no mayor a 1 mes) no estar embarazada programar cita para el estudio * los estudios marcados son remitidos a otros laboratorios de referencia. La angiotomografía o angiotac es un procedimiento que permite estudiar las arterias del cuerpo y diagnosticar si se encuentran sin alteraciones, estrechadas o bloqueadas, Examinar las arterias pulmonares en los pulmones a fin de descartar una embolia pulmonar Detectar trombosis (coágulos) en las venas y/o arterias.
ADAM, Inc está acreditada por la URAC, también conocido como American Accreditation HealthCare Commission (wwwuracorg) La acreditación de la URAC es un comité auditor independiente para verificar que ADAM cumple los rigurosos estándares de calidad e integridad ADAM es una de las primeras empresas en alcanzar esta tan importante distinción en servicios de salud en la red. In particular, it allows the evaluation of the coronary anatomy and the exact course of the vessel, a particularly important element in cases of interarterial passage, ie between the trunk of the pulmonary artery and the ascending aorta This course is associated with the risk of myocardial ischemia and sudden death (6). La angiografía por tomografía computarizada o angiotomografía es una variante de la tomografía computarizada que utiliza una técnica de angiografía para visualizar el flujo de los vasos arteriales y venosos en el cuerpo, 1 desde los circuitos circulatorios del cerebro hasta la irrigación de los pulmones, riñones, brazos y piernas Cuando la evaluación ecocardiográfica no permite.
Concretamente, la ACTC, en comparación con las pruebas de estrés, tiene la ventaja de permitir un examen simultáneo de otras estructuras no cardiacas como la aorta y las arterias pulmonares, para descartar las tres causas potencialmente mortales más importantes del dolor torácico EC, disección aórtica aguda y embolia pulmonar. AngioTAC como método de diagnóstico y decisión quirúrgica en el tromboembolismo pulmonar crónico Discusión a propósito de un caso May 05 Revista medica de Chile 133(5). A embolia pulmonar ocorre quando um coágulo de sangue se solta do vaso onde se forma e viaja na circulação sanguínea até aos pulmões, obstruindo uma artéria pulmonar, interrompendo o fluxo de sangue É uma das causas de doença e morte inesperadas mais comuns, podendo esta patologia ser tratada com anticoagulantes.
La angiografía pulmonar antiguamente era utilizada como herramienta de oro para el diagnóstico o exclusión de TEP, en la que se documenta un defecto de llene o amputación de una o más las pulmonares en al menos dos proyecciones. AngioTAC de tórax Es el examen de elección para confirmar el diagnóstico de TEP En casos típicos se observa amputación de vasos o defectos del llenado del medio de contraste en el lumen arterial pulmonar de mayor o menor cuantía, dependiendo de la masa trombótica. Snowflake, 4angioTACtrombooclusivopulmonar AngioTAC #, 3 Signo de Westermarck #, img0801 #.
Una angiografía coronaria por TC es diferente de una angiografía coronaria estándar En el procedimiento tradicional (angiografía sin TC), se pasa un tubo flexible (catéter) por la ingle o el brazo hasta el corazón o las arterias coronariasSi tienes una enfermedad de las arterias coronarias conocida, tu médico podría recomendar el enfoque tradicional porque también puedes recibir. Dec 11, Top 10 blogs in for remote teaching and learning;. Endobronchial ultrasound (EBUS) is a new technique that can be used for the diagnostic imaging of central pulmonary thromboembolism (PE) In eight cases at our clinic, EBUS was used because of mediastinal lymphadenopathies or paramediastinal nodular lesions and at the same time images were obtained of a PE by means of EBUS.
Protocolo angio tc evaluar vasos cerebrales pequeños, es importante tener una buena calidad de imagen con una buena resolucion espacial se debe ocupar el corte. Generalidade AngioTAC é Tomografia Axial Computadorizada com meio de contraste que permite estudar a circulação sanguínea nas artérias e veias, a circulação sanguínea dos órgãos mais importantes do corpo humano e, finalmente, todas as várias anormalidades e patologias de caráter vascular O angioTAC fornece uma preparação muito específica;. Sospechar un tromboembolismo pulmonar y proceder a su confirmaciónn • Las mujeres deben ser informada de los posibles efectos adversos de los anticonceptivos y su forma de presentación clínica, para poder detectarlos precozmente.
Introducción Concepto El tromboembolismo pulmonar 1,2 (TEP) es el cuadro clínico que resulta de la obstrucción de la circulación arterial pulmonar de un émbolo procedente del sistema venoso profundo de las extremidades inferiores y de la región pélvica Junto con la trombosis venosa profunda (TVP) constituyen la enfermedad tromboembólica venosa (ETV). El angioTAC pulmonar suele ser la prueba fundamental, presentando una alta sensibilidad y especificidad La arteriografía, aunque puede ser una prueba muy importante, estará indicada generalmente para los pacientes en los que haya una alta sospecha clínica y exista negatividad de la angioTAC y de la gammagrafía pulmonar. ADAM, Inc está acreditada por la URAC, también conocido como American Accreditation HealthCare Commission (wwwuracorg) La acreditación de la URAC es un comité auditor independiente para verificar que ADAM cumple los rigurosos estándares de calidad e integridad ADAM es una de las primeras empresas en alcanzar esta tan importante distinción en servicios de salud en la red.
Angiotac aorta torácica y pulmonares 1 Angio 2 Estudio de tórax En primer lugar en una arteria de gran calibre identificamos 3 capas la íntima en contacto con el lumen (calcificaciones), luego la media y la más externa es la adventicia. Angiotac aorta torácica y pulmonares 1 Angio 2 Estudio de tórax En primer lugar en una arteria de gran calibre identificamos 3 capas la íntima en contacto con el lumen (calcificaciones), luego la media y la más externa es la adventicia. A ANGIO TC ou angiotomografia é um exame de diagnóstico que nos permite avaliar os vasos sanguíneos (veias e artérias)As artérias (sangue arterial) permitem enviar o sangue desde o coração até às células, enquanto que as veias permitem conduzir o sangue desde as células de volta até ao coração (sangue venoso).
Existen más diferencias entre el angioTAC y la angioRNM que similitudes Por ejemplo Todos los angioTAC requieren el uso de un agente de contraste intravenoso, pero no todas las AngioRNM Los angioTAC requieren solo unos minutos para realizarse;. A embolia pulmonar ocorre quando um coágulo de sangue se solta do vaso onde se forma e viaja na circulação sanguínea até aos pulmões, obstruindo uma artéria pulmonar, interrompendo o fluxo de sangue É uma das causas de doença e morte inesperadas mais comuns, podendo esta patologia ser tratada com anticoagulantes. DEFINICIÓN Las pruebas de angiografía por tomogafía computada (angioTAC) y la angiografía por resonancia nuclear magnética (angioRNM) son estudios de imagenología avanzada no invasivos que brindan información detallada sobre los vasos sanguíneos dentro de nuestros cuerpos y sus relaciones anatómicas con otros órganos.
Examinar las arterias en los pulmones para detectar embolismo pulmonar (coágulos de sangre, tales como los que viajan desde las venas de las piernas) o AVMs pulmonares observar anormalidades congénitas en vasos sanguíneos, especialmente en las arterias de niños (ej malformaciones en el corazón u otros vasos sanguíneos debido a defectos. Una angiotac pulmonar negativa en un paciente con reserva cardiopulmonar baja y con alta sospecha clnica, probablemente derivar en una angiografa pulmonar En enfermos con reserva cardiopulmonar normal, el trabajo diagnstico puede detenerse o bien complementarse con un estudio de fuente emblica. ANGIO RM DE AORTA TORÁCICA Nos pueden pedir éste estudio como complemento de un estudio cardíaco o de manera independiente Vamos a pensar que es un estudio independiente, para que sepamos la colocación del paciente En primer lugar, hay que colocar una vía, ya que necesitaremos inyectar contraste intravenoso.
Http Emergencias Portalsemes Org Descargar Tromboembolismo Pulmonar Diagnosticado Por Angio Tac Force Download
Q Tbn And9gcsswjuhj9gzgtnk35ztzzj3vafcalrmccvxynzheslovb58eddm Usqp Cau

Grupo Ct Scanner
Angiotac Pulmonar のギャラリー

Proyecto Base Interactiva De Radiodiagnostico 6ª Edicion Grado De Medicina
Www Scielo Br Pdf Jbpneu V30n5 V30n5a12 Pdf

Angiotomografia Computarizada Multidetector Una Nueva Era En La Evaluacion De Tromboembolia Pulmonar

Tromboembolismo Pulmonar Optimizacion Del Protocolo De Angiotc Con Bajo Kilovoltaje Y Baja Dosis De Contraste Semantic Scholar

Angiotac Como Metodo De Diagnostico Y Decision Quirurgica En El Tromboembolismo Pulmonar Cronico Discusion A Proposito De Un Caso

Patologia Pulmonar Congenita Evaluacion Y Manejo Perinatal Sciencedirect

Dolor Toracico Y Disnea Progresiva En Varon Joven

Dolor Toracico Y Disnea Progresiva En Varon Joven
Inis Iaea Org Collection Nclcollectionstore Public 51 096 Pdf

Hemoptisis Amenazante Secundaria A Aneurisma De Rasmussen En Paciente Vih Archivos De Bronconeumologia

Edy Franco Twitterren Publique Un Caso En La Revista De Mi Hospital Una Tep Masiva Que Comprometio Ambas Arterias Pulmonares El Paciente Fue Egresado A Las Pocas Semanas T Co Th5iret2ch

Trombo Embolismo Pulmonar

Takayasu Arteritis And Giant Aneurysm Of Pulmonary Artery Case Report Revista Colombiana De Reumatologia English Edition

Fragmentacion Mecanica Y Trombolisis Guiada Por Cateter En La Embolia Pulmonar De Riesgo Intermedio Medicina Buenos Aires

Angiotac Toracico Que Confirma El Diagnostico De Tromboembolismo Download Scientific Diagram
Radiologia Para Todos Home Facebook
Angiografia Por Tomografia Computarizada Wikipedia La Enciclopedia Libre

Diagnostico De Tromboembolia Pulmonar

Tcmd En Tx

Sindroma Hepatopulmonar Relato De Um Caso Clinico E Revisao Do Tema
Inis Iaea Org Collection Nclcollectionstore Public 51 096 Pdf
Www Webcir Org Revistavirtual Articulos Diciembre11 Espana Esp Espanol A Pdf

Diagnostico Por Imagenes Del Tromboembolismo Pulmonar

Continuum Mujer Adolescente Con Insuficiencia Respiratoria Progresiva Y Hemoptisis

Tromboembolismo Pulmonar Urgencias Bidasoa
Angio Tac De Torax Ventana Pulmonar Download Scientific Diagram

Proyecto Base Interactiva De Radiodiagnostico 6ª Edicion Grado De Medicina
Revistas Proeditio Com Jonnpr Article View 36 Pdf36

Angio Tep

Covid 19 Tomografia Computarizada Tc Pruebas De Imagen Pruebas Medicina Interna Basada En La Evidencia

Angio Tc Ou Angio Tac Exames De Angiotomografia Computorizada

Angiotac Pulmonar Corte Axial Trombo En Arteria Pulmonar Derecha Que Download Scientific Diagram

Tromboembolismo Pulmonar Tep Agudo Y Cronico Radiodiagnosticando

Patricio Sandoval A Twitter Ejemplo De Hoy Hombre 54 Anos Infarto Acp Der Asintomatico Respiratorio Ecote Fop C Shunt Espontaneo D I Sin Aneurisma De Septum Rope 7 Pts Angiotac Pulmonar Tep Segmentario

Hipertension Pulmonar En Paciente Vih Positiva

Electrocaso Cardiodata

Diagnostico Por Imagenes Del Tromboembolismo Pulmonar

Tromboembolismo Pulmonar Wikipedia La Enciclopedia Libre

Tromboembolismo Pulmonar Urgencias Bidasoa
Q Tbn And9gct4v1du Epn7zverivmer8z72 1z Hj9bccalwaovunpimyqe3h Usqp Cau
1

Revision Bibliografica Diagnostico De Tromboembolismo Pulmonar Pagina 3 De 6

Tromboembolismo Pulmonar Youtube

Imagen De Seminario Clinica Unr Com Ar

Angiotc Das Arteria Pulmonares Tep Youtube

Tromboembolismo Pulmonar Y Embolia Paradojica Concomitante A Proposito De Un Caso Archivos De Bronconeumologia

Angiotac Arterias Pulmonares

Una Causa Infrecuente De Tromboembolismo Pulmonar

Fistula Arterio Venosa Pulmonar

Tromboembolia Pulmonar Cuando La Angio Tc Pulmonar No Es Concluyente Serau Sociedad Espanola De Radiologia De Urgencias

Angio Tc De Arterias Pulmonares Tromboembolismo Pulmonar Agudo Youtube

Angiografia De Torax Por Tomografia Computada Angio Tc Sochradi
Http Www Sah Org Ar Revista Numeros 40 Vol Congre 16 Pdf
Www Medigraphic Com Pdfs Anaradmex Arm 17 Arm173g Pdf

Tratamiento Quirurgico Del Secuestro Pulmonar Extralobar De Diagnostico Prenatal

Mip Angio Tc De Torax Tecnica Para Trombo Embolismo Pulmonar Youtube
Revistas Proeditio Com Jonnpr Article View 36 Pdf36
Www Medigraphic Com Pdfs Anaradmex Arm 17 Arm173g Pdf

Jornal Brasileiro De Pneumologia O Papel Dos Exames De Imagem Na Avaliacao Da Circulacao Pulmonar

Embolismo Paradojico A Traves De Foramen Oval Permeable Coincidente Con Embolismo Pulmonar Medicina Intensiva

Revision Bibliografica Diagnostico De Tromboembolismo Pulmonar Pagina 3 De 6

Angiotac Como Metodo De Diagnostico Y Decision Quirurgica En El Tromboembolismo Pulmonar Cronico Discusion A Proposito De Un Caso

Arteria Pulmonar Angiotac Youtube

Angio Tc Arterias Pulmonares Estudio Tep Tromboembolismo Pulmonar Centro Medico Teknon

Tromboembolismo Pulmonar Urgencias Bidasoa

Signo Del Halo Invertido Criterios Para Reducir El Diagnostico Diferencial Archivos De Bronconeumologia

Angio Tac En Corte Transversal Del Caso 1 Donde En El Campo Pulmonar Download Scientific Diagram

Imprimir Articulo

Covid 19 Tomografia Computarizada Tc Pruebas De Imagen Pruebas Medicina Interna Basada En La Evidencia

Tomografia Computarizada Tc Angiografia Angiograma

Corte Sagital Angio Tac Flecha Tumor Vi Ventriculo Izquierdo Vd Download Scientific Diagram
Inis Iaea Org Collection Nclcollectionstore Public 51 096 Pdf

Patologia Pulmonar Congenita Evaluacion Y Manejo Perinatal Sciencedirect
Angiotac Pulmonar Clinica Santa Fe Facebook

Angiotomografia Computarizada Multidetector Una Nueva Era En La Evaluacion De Tromboembolia Pulmonar
Santos Martinez

Origen Anomalo De La Arteria Carotida Comun Izquierda Asociada A Sindrome De Holt Oram Reporte De Caso Cirugia Cardiovascular

Tromboembolismo Pulmonar Masivo Con Respuesta Exitosa A Trombolisisfarmacologica Caso Clinico

Caso 1 Varon 60 Anos Ingreso Por Hemoptisis Franca Ppt Descargar
Www Medigraphic Com Pdfs Anaradmex Arm 17 Arm173g Pdf

Figure 13 From Anomalias Congenitas De Las Arterias Coronarias Hallazgos En Tac Multicorte De 64 Canales Congenital Anomalies Of Coronary Arteries 64 Channels Multislice Ct Findings Semantic Scholar

Angiografia De Arterias Coronarias Por Tomografia Computada Angio Tc Sochradi

Tromboembolismo Pulmonar Dr Enrique Alvarez Llaneza

Sobre Tecnicas De Imagenes Medicas Blog Stim Tromboembolismo Pulmonar Tep Y Tc Multicorte 64 2º Capitulo
Q Tbn And9gcrtops3u Kejcf Tekkkfplbbphcn7ykmai6pv9aztl6rd6 M8g Usqp Cau

Tromboembolismo Pulmonar Ppt Descargar

Angiografia Arterial Pulmonar Por Tomografia Computada Multicorte Download Scientific Diagram

Patricio Sandoval A Twitter Ejemplo De Hoy Hombre 54 Anos Infarto Acp Der Asintomatico Respiratorio Ecote Fop C Shunt Espontaneo D I Sin Aneurisma De Septum Rope 7 Pts Angiotac Pulmonar Tep Segmentario

Radiologia Brasileira Trombose Venosa Profunda E Suspeita De Tromboembolismo Pulmonar Avaliacao Simultanea Por Meio De Angiotomografia Pulmonar E Venotomografia Combinadas

Embolia Pulmonar Ep Trastornos Pulmonares Manual Merck Version Para Profesionales

Angiotomografia Computarizada Multidetector Una Nueva Era En La Evaluacion De Tromboembolia Pulmonar
Www Medigraphic Com Pdfs Anaradmex Arm 17 Arm173g Pdf

Angio Tac De Torax Ventana Pulmonar Download Scientific Diagram
Angio Tc Arterias Pulmonares Estudio Tep Tromboembolismo Pulmonar Centro Medico Teknon

Endarterectomia Pulmonar Reporte Inicial En Un Hospital De Cardiologia
Institutovascular Cl Ivs Wp Content Uploads 16 12 Capi Cc 81tulo 33 Enfermedad Tromboembo Cc 81lica Final 13 Fv Pdf
Http Contenido Acronline Org Publicaciones Rcr Rcr27 3 02 Valor Pdf
Caso De Evc Isquemico Y Tromboembolia Pulmonar Asociado A Foramen Ovale Permeable Miranda Aquino Revista Biomedica

Sesion Tromboembolismo Pulmonar



